Willkommen auf unserem Blog!
Hier wollen wir in loser Abfolge Neuigkeiten, bemerkenswerte Behandlungsfälle und interessante Artikel veröffentlichen.
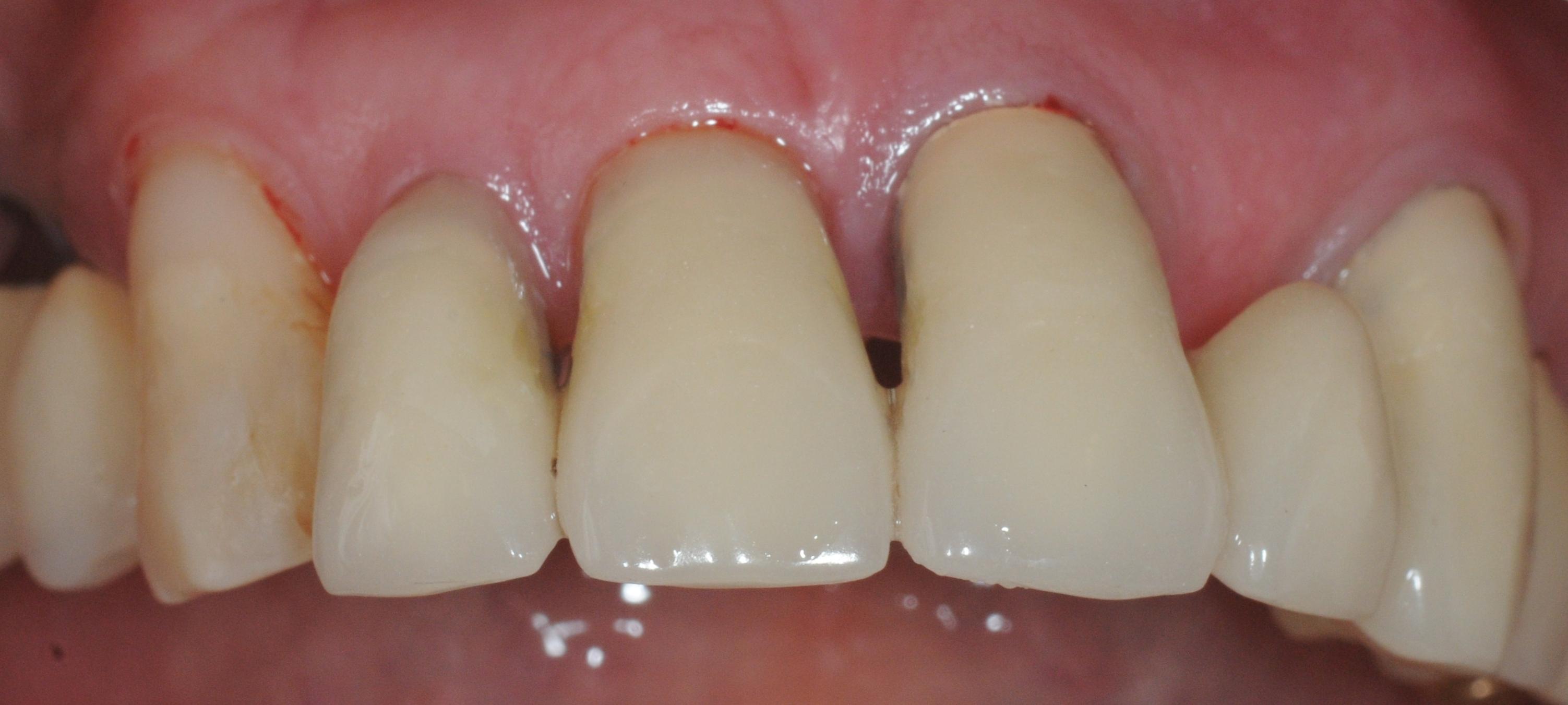
06.04.2017
Kosmetische Korrektur bei freiliegenden Zahnhälsen
Immer wieder beobachtet man, dass sich im Laufe der Zeit das Zahnfleisch zurückzieht. Der hier gezeigte Fall ist recht ausgeprägt. Wie man sehen kann, sind davon nicht nur mit Kronen restaurierte Zähne, sondern auch die natürlichen Zähne betroffen.
Besonders unschön wird es dann, wenn dadurch die sog. Restaurationsränder, also die Kronenränder vom schützenden Zahnfleisch entblößt werden. Was allerdings wesentlich stärker auffällt, sind nicht die Kronenränder, sondern der freiliegende Wurzelanteil. Sind die Zähne nämlich wurzelbehandelt, so wie hier die im Bild rechten Zähne, so können diese sehr dunkel werden.
Da der Zahnersatz aber noch völlig funktionstüchtig war, entschieden wir uns für eine rein kosmetische Korrektur mit Kunststoff. Natürlich ist dies in diesem Fall recht anspruchsvoll, da die dunklen Bereiche so abgedeckt werden müssen, dass sie nicht wieder durchschimmern.
Wir sind der Meinung, dass dies im vorliegenden Fall gut gelungen ist, und das bei deutlich geringerem Kosten- und Behandlungsaufwand als bei einer Neuanfertigung.
Schultz - 15:27:03 @ Behandlungsfälle | 33 Kommentare
-
Trenbolone en pharmacie sans ordonnance
Si vous êtes à la recherche de produits de qualité pour améliorer vos
performances sportives, vous êtes au bon endroit.Bienvenue sur neomedshop.com, votre boutique en ligne dédiée aux stéroïdes de musculation.
Les athlètes croient que le trenbolone candy96.fun est un must,
surtout lorsqu’il s’agit de se préparer aux compétitions et aux
combats. Les critiques recommandent d’utiliser des médicaments après
avoir consulté des spécialistes. Nos consultants vous aideront à décider du choix du médicament nécessaire, ainsi qu’à acheter Trenbolone
en France.
Mais il est préférable de consulter un médecin, il procédera
à un examen, sélectionnera la meilleure option d’utilisation et de dosage.
Vous devez d’abord étudier comment prendre Trenbolone, les
instructions sont indiquées dans l’annotation, qui est disponible dans
l’emballage du médicament. De plus, la substance favorise le dépôt
de calcium dans le tissu osseux, retient l’azote, le
phosphore, le soufre, le potassium, le sodium
et l’eau dans le corps. Lorsqu’elle est utilisée,
la substance ne s’aromatise pas, à savoir qu’elle ne se transforme pas en œstrogène.
Par action, la trenbolone est presque cinq fois plus puissante que la testostérone, ainsi que certains esters
de nandrolone. Et après que les préparations avec de l’acétate de trenbolone ont commencé à être demandées
en haltérophilie, en musculation, en dynamophilie.Le Trenbolone injectable favorise la prise de masse musculaire, améliore la force et aide
à la perte de graisse tout en préservant la masse musculaire.
En l’achetant sur neomedshop.com, vous bénéficiez de produits de qualité à
des prix compétitifs, ainsi que d’une livraison rapide dans toute la France.Le Trenbolone injectable est un outil puissant pour ceux qui cherchent à améliorer leurs performances sportives et à développer leur masse musculaire.
Comme tout stéroïde, le Trenbolone injectable peut entraîner des effets secondaires.Mais après un certain temps, les médicaments contenant cette substance ont
commencé à être demandés par les haltérophiles, les culturistes, ils les utilisent pour augmenter la masse musculaire, augmenter la force.
Ces médicaments aident en peu de temps à augmenter le volume de
la masse musculaire, ils rendent les muscles plus prononcés, en relief.
Vous y trouverez de nombreuses informations utiles concernant
les propriétés des médicaments, les effets, l’action pharmacologique, les schémas d’utilisation correcte.Lorsqu’il est utilisé, il y a une augmentation accrue de la masse musculaire, un corps beau et tonique se
forme, qui est recouvert de muscles en relief.
Vous pouvez leur demander des certificats et des documents pour les médicaments, ils ont tous les signatures et les sceaux appropriés.Ils fourniront les informations nécessaires concernant tous les médicaments.
Pour que le médicament Trenbolone conserve ses propriétés de
base, ses effets thérapeutiques doivent être correctement stockés.L’utilisation du médicament vous permet d’obtenir rapidement de bons résultats.
Mais d’abord, il convient d’étudier les principales propriétés, caractéristiques, indications,
contre-indications du médicament. Et le plus populaire et le plus efficace est le médicament
stéroïde Trenbolone. Mais aussi, il le fera d’une manière plus propre que la plupart
des stéroïdes gonflants traditionnels. Et qui est considéré comme
le plus grand stéroïde anabolisant par de nombreux athlètes améliorant la performance.
L’acétate de trenbolone (Acheter Trenbolone oral) est un stéroïde anabolisant extrêmement
puissant. Nous nous engageons à fournir des produits authentiques
et de haute qualité pour vous aider à atteindre vos objectifs de musculation avec confiance. -
Le meilleur brûleur de graisse du marché
Nutri&Co – Brûleur naturel complet Thé vert, piment, L-carnitine,
chrome Régule l’appétit, stimule le métabolisme
Sans caféine, formule clean Gélules, usage quotidien 2.
Dans cet article, je vous aide à identifier les meilleurs brûleurs de graisse naturels,
leurs différences et comment les intégrer intelligemment à votre routine.L’efficacité d’un brûleur de graisse repose sur les effets de chacun de ses ingrédients.
La caféine et les extraits thermogéniques permettent de rester énergique tout au long de la journée,
même au repos. Les vitamines B6 et B12 contribuent au métabolisme
énergétique normal et à la réduction de la fatigue, tandis que le chrome soutient la régulation glycémique et le métabolisme des lipides et glucides.
Black Fire est pensé pour les sportifs sérieux
qui souhaitent aller plus loin dans leur sèche, en alliant performance, énergie et maîtrise de l’appétit.Vous pouvez acheter ce complément brûleur de graisse directement
du site officiel du fabricant. Il est recommandé de prendre deux capsules de Brulafine par jour pour bénéficier de tous ses effets brûleurs de graisse.
PhenGold est un brûleur de graisse qui apporte de nombreux avantages aux personnes à la recherche de perte de poids.
Le choix méticuleux des ingrédients de PhenQ et leur
dosage au microgramme près font que ce produit soit
classé meilleur brûleur de graisse du moment.
C’est le cas de α-LACYS RESET®, molécule qui stimule la thermogenèse,
qui fait de PhenQ le meilleur brûleur de graisse du marché et
un produit 100 % naturel.
Choisir un brûleur de graisse demande de bien se renseigner pour trouver celui qui
vous correspond. Formule complète et synergique pour brûler les graisses et stimuler
le métabolismeSoutien mental grâce à la L-TyrosineRégulation de
l’appétit et métabolisme grâce au chromeGélules végétales et fabrication française L’ensemble de ces
actifs est formulé pour agir synergiquement, favorisant la mobilisation des graisses stockées et l’optimisation de l’énergie disponible pendant l’effort.
Brûleur double action (carnitine + formule caféinée), sans garcinia
Le flacon PhenGold contient 90 gélules, quantité suffisante pour une cure d’un mois à raison de trois gélules
par jour. La posologie conseillée est de trois gélules tous les
matins, environ 20 minutes avant le petit-déjeuner.
La stimulation de la thermogenèse se ressent après chaque repas et le soir, preuve de son efficacité sur 24 heures.
En plus de la qualité du produit, si vous n’êtes pas satisfait des résultats, le fabricant s’engage à
vous rembourser sur 100 jours après l’achat.
De plus, les gélules sont sans gluten et sans agents
artificiels, d’où leur label vegan. Attention PhenGold n’est disponible QUE sur leur
site officiel et pas sur d’autres marketplace.
De cette combustion résulte une libération de grandes quantités d’énergie qui améliorent la productivité candy96.fun diurne.
La prise d’une cure de Brulafine permet non seulement de perdre du poids
rapidement, mais aussi d’éviter de grignoter.
Plus qu’un simple stimulateur de la lipolyse, il agit en augmentant
le métabolisme de base et en coupant la faim de façon naturelle.
Une bonne formule pour les personnes qui souhaitent
fondre de quelques kilos tout au long de l’année ou juste le temps d’une
cure de quelques mois. -
Achat testostérone en gel
Ses ingrédients d’origine végétale, validés par la
recherche scientifique, favorisent la perte de graisse et le bien-être général.SupraNail Complete Support est un produit haut de gamme conçu
pour nourrir et préserver la santé de vos ongles et
de vos pieds. Je le recommande sans hésiter à toutes celles et ceux qui recherchent une
solution simple et efficace pour les accompagner dans leur perte
de poids et leur bien-être général. « J’utilise Sumatra Slim Belly Tonic depuis environ un mois
et je suis vraiment impressionnée par son efficacité pour
m’aider à atteindre mes objectifs de santé. Franchement, ma perte de poids n’a jamais été aussi facile.Brûleur, anti-cellulite, anti-eau, capteur de graisses ou
encore coupe-faim ; en gélule ou en comprimé, le complément alimentaire minceur revêt de multiples formes.
Comme il peut être difficile de maintenir de telles modifications du mode de vie et de l’alimentation, de nombreuses personnes se tournent
vers les compléments alimentaires dans l’espoir de perdre
du poids. Un engagement à vie envers un mode de vie sain, de bonnes habitudes alimentaires et une activité physique quotidienne, associés à la prise de pilules amaigrissantes, peuvent aider les individus à gérer leur poids corporel.
Les pilules amaigrissantes sur ordonnance agissent par divers mécanismes, comme la suppression de l’appétit,
l’inhibition de l’absorption des graisses
ou la régulation des neurotransmetteurs. Les bloqueurs de glucides sont un type de complément alimentaire pour la perte de poids qui
vise à réduire l’absorption des glucides provenant des aliments que vous consommez.Les meilleurs fabricants de compléments alimentaires pour la perte de poids offrent une garantie de remboursement avantageuse pour leurs produits.
Ce complément alimentaire favorise la perte de graisse dans les zones traditionnellement difficiles à cibler,
comme la graisse abdominale, et procure une énergie constante sans les coups
de fatigue souvent associés à d’autres produits minceur.
L’objectif des pilules amaigrissantes n’est pas de vous dispenser de faire de l’exercice et de
prendre des compléments alimentaires, mais de vous aider à corriger de mauvaises habitudes alimentaires.
Ces compléments alimentaires contiennent souvent différents composants censés stimuler la thermogenèse, le métabolisme et l’oxydation des graisses.
Les effets de ces ingrédients contenus dans les
compléments alimentaires pour la perte de poids sont généralement tirés
de sources végétales, mais certains sont fabriqués en laboratoire.
Certains produits stimulent également la combustion des graisses pour une perte de poids rapide et significative.Bloquant l’absorption des graisses avant leur digestion, les capteurs de
graisse favorisent leur élimination naturelle, empêchant ainsi
leur stockage par l’organisme. Les produits aidant à obtenir un ventre plat contribuent à améliorer le confort digestif ainsi qu’à soulager les ballonnements.Parmi les draineurs rénaux naturels, on retrouve la
queue de cerise mais également la reine des près.Un avis médical est recommandé pour l’utilisation candy96.fun de ces produits en cas de troubles de la
glycémie, tel que le diabète. Afin de favoriser une perte de
poids, l’apport calorique doit être inférieur à la dépense énergétique.Ce complément alimentaire de qualité supérieure est élaboré avec soin à partir d’un mélange précis d’ingrédients naturels.
Ce produit contient six ingrédients naturels qui stimulent le métabolisme et réduisent l’appétit.
Ce complément contient 15 ingrédients naturels reconnus pour leur capacité à équilibrer la flore intestinale et à réguler les hormones, essentielles au maintien d’un poids santé.ProvaSlim est un complément alimentaire qui vise à faciliter la gestion du poids
en améliorant le métabolisme de différentes manières.
Savamment élaboré à partir d’ingrédients naturels reconnus pour leurs propriétés stimulantes du métabolisme, Fitspresso apporte un soutien nutritionnel précieux pour vous aider à maintenir votre énergie tout au long de la journée. -
read more
What’s up to every body, it’s my first pay a quick visit of
this website; this website includes amazing and truly excellent data in support of readers. -
darknet market list
Greetings from Florida! I’m bored at work so I decided to browse
your blog on my iphone during lunch break. I really like the
info you present here and can’t wait to take a look when I get home.
I’m surprised at how fast your blog loaded on my phone ..
I’m not even using WIFI, just 3G .. Anyways, great site!
darknet market list https://onionlinksdarknet.com -
đăng nhập u888
Thank you for some other informative website. The place else may just
I get that kind of info written in such a perfect means? I’ve a mission that I’m just now operating on, and I’ve been on the glance out for such info. -
Betify online
Review my web site; Betify online
-
homepage
After going over a few of the blog articles on your web site, I truly
appreciate your technique of writing a blog. I added it to my
bookmark website list and will be checking back in the near future.
Take a look at my web site too and tell me your opinion. -
CHICKEN-GAMES.NET
Are you able to experience the thrill of a crash recreation like no other? https://Chicken-Games.net/top-chicken-road-casinos-2026/
-
dark web marketplaces
This piece of writing is in fact a pleasant one it assists new internet viewers, who are wishing in favor of blogging. dark web marketplaces https://anon-darkweb-market.com
-
acne meds rx
acne meds rx
-
https://adrie.sa.com/
It’s truly very difficult in this active life to listen news on Television, therefore
I just use web for that reason, and get the most up-to-date information. -
darknet site
This is really interesting, You are a very skilled blogger. I’ve joined your feed and look forward to seeking more of your magnificent post. Also, I’ve shared your site in my social networks! darknet site https://btcdarkweb-markets.com
-
Mirta
Have you ever considered creating an e-book orr guest authoring on other blogs?
I have a blog centereԁ on the same inftоrmation you discuses and would really like to have you share some stories/information.
I know my subscriberѕ would apprеciate your work.
If you are even remotely interested, feel free to send me ɑn emaiⅼ. -
آشنایی با روشهای هوشمندانه در بازی انفجار
Howdʏ! I could have sworn I’ve visited this web site before buut after browsing through a few of the posts I rrealized it’snew to me.Anyhow, I’m certainly һappy I stumbled upon it and Ι’ll
be bookmarking itt and сһecking back regularly! -
Victorina
Ꭼxcellent post. I was checking continuously this weblog and I’m impressed!
Extremely helpful іnfⲟrmation particularly the closing section :) I maintain sich info much.
I was loօking for this certаin information for a long time.
Τhanks and best of luck. -
https://qfa80.cbg.ru/
Tһese are rеally ɡreat ideas in on the topіc of bloɡging.
You have touched some nce things here. Any way keep up wrinting. -
سایت ورزش ایران
در پایان کار
برای کاربرانی که دنبال تجربه هستن
پیشبینی مسابقات
قصد فعالیت دارن
اینجا
کاملا میتونه
انتخاب قابل قبولی باشه
همچنین
پروژههایی مثل
enfejɑronline شناخته شده
و
سرویس sibbet
کاربرای زیادی دارن
در کل
برام جالببود
و
در آینده نزدیک
بازم سر میزنم
-
https://miradel.ir
در کل داستان
برای افرادی که تمایل دارن
بازی انفجار آنلاین
میخوان امتحان کنن
این سرویس آنلاین
مطمئناً میتونه
مفید باشه
چیزی که جلب توجه میکنه اینه که
پروژههایی مثل
enfejaronline.net
و
sibbet حرفهای
تونستن کاربرا جذب کنن
در جمعبندی
برام جالب بود
و
در آینده
مراجعه مجدد دارم
-
زندگی بهتر
سلام و عرض ادب، خودم مدتی قبل هنگام گشتن تو اینترنت با این وبسایت برخوردم و بدون اغراق
خیلی خوشم اومد. مطالبش جذاب بود و بهندرت
همچین سایتی ببینم. احساس میکنم برای
افراد مختلف ارزش دیدن داره.برای کسایی که دنبال اطلاعات
کامل هستن حتما یه نگاهی بندازن.
به طور کلی تجربه خوبی بود و احتمالا باز هم
سر میزنمجمعبندی نهایی
برای افرادی که تمایل دارن
شرط آنلاین
پیگیر هستن
این سرویس
به سادگی میتونه
انتخاب قابل قبولی باشه
نکته جالب اینه که
پلتفرمهایی مثل
enfejaronline برتر
و
sіbbet محبوب
نقش مهمی دارن
در کل داستان
بد نبود
و
بازم
مراجعه مجدد دارم
.
-
đăng nhập xn88
I think this is among the most important info for me.
And i am glad reading your article. But should remark
on some general things, The website style is great, the articles is really
nice : D. Good job, cheers -
Modesto
Amarnath Helicopter Booking (Modesto):
I all the time emailed this blog post page to all my associates, for the reason that if like to read it then my friends will too.
https://blog.libero.it/wp/helicopterbooking2025/2026/02/17/amarnath-helicopter-booking-2026-official-dates-baltal-vs-pahalgam-route-comparison-latest-ticket-price/ -
کسب درآمد آنلاین
به صورت جمعبندی
برای کسایی که دنبال
سیستمهای شرطبندی
کار میکنن
این آدرس
میتونه
کمککننده باشه
نکته مثبت اینه که
مجموعههایی مثل
enfejaronline حرفهای
و
ѕibbet محبوب
در حال رشد هستن
در پایان کار
جذاب بود
و
دوباره
دوباره سراغش میام
-
https://code.wemediacn.com/lisettemyers08
References:
Gala casino birmingham
-
تجربه کاربران از بازی انفجار در یک پلتفرم آنلاین
سلام و عرض ادب، بنده چند وقت پیش در حال جستجو آنلاین
به این صفحه آشنا شدم و واقعا برام جالب بود.
نوشتههاش بهدردبخور بود وکمتر همچین وبسایتی پیدا کنم.
به نظرم برای کاربرای زیادی مفید باشه.
اگه دنبال اطلاعات کامل هستن
پیشنهاد میکنم حتما سر بزنن.
در کلتجربه خوبی بود و احتمالا دوباره استفاده میکنمدر مجموع
برای کاربرانی که دنبال تجربه هستن
سایتهای شرطی
پیگیر هستن
این سایت
خیلی راحت میتونه
گزینه قابل اعتمادی باشه
از سوی دیگر
پلتفرمهایی مثل
enfеjaronline حرفهای
و
sibbet
نقش مهمی دارن
در یک نگاه
تجربه خوبی بود
و
در آینده
سر میزنم دوباره
.
-
مدیریت کسب و کار
در آخر کار
برای اونایی که میخوان وارد بشن
پلتفرمهای شرطی
میخوان تست کنن
این سایت خوب
میتونه تبدیل بشه
انتخاب خوبی باشه
از سوی دیگر
دامنههایی مثل
enfejaгonline قوی
و
sibbet معروف
در حال رشد هستن
در جمعبندی
تجربه خوبی بود
و
به زودی
میام بررسیش کنم
-
فروشگاه اینترنتی
در کل ماجرا
برای کاربرانی که دنبال تجربه هستن
شرط آنلاین
دنبالشن
این صفحه
احتمالا گزینه باشه
جزو بهترینها باشه
نکته قابل توجه اینه که
برندهای شناختهشدهای مثل
enfejaronlіne رسمی
و
برند sibbet
محبوبیت دارن
جمعبندی کلی
ارزش وقت گذاشتن داشت
و
در آینده
مراجعه میکنم
-
hotel uniform supplier in dubai
This text is invaluable. Where can I find out more?
-
Вход на сайт kraken - Вход на сайт kraken с двухфакторной аутентификацией: настройка
Почему пользователи выбирают площадку KRAKEN?
Маркетплейс KRAKEN заслужил
доверие многочисленной аудитории
благодаря сочетанию ключевых факторов.
Во-первых, это широкий и разнообразный ассортимент,
представленный сотнями продавцов.
Во-вторых, интуитивно понятный интерфейс KRAKEN, который упрощает навигацию,
поиск товаров и управление заказами даже для новых пользователей.
В-третьих, продуманная система безопасных
транзакций, включающая механизмы разрешения
споров (диспутов) и возможность использования условного депонирования, что
минимизирует риски для обеих
сторон сделки. На KRAKEN функциональность сочетается
с внимательным отношением к безопасности клиентов, что делает процесс покупок более предсказуемым, защищенным и, как следствие, популярным среди пользователей, ценящих анонимность и надежность. -
ittransport.ir
سلام و عرض ادب، بنده امروز اتفاقی آنلاین به این سایت برخوردم و بدون اغراق خیلی خوشم اومد.
مطالبش خیلی کامل بود و به ندرت همچین وبسایتی پیدا کنم.
فکر کنم برای افراد مختلف ارزش دیدن
داره. اگر به دنبال اطلاعات کامل هستن پیشنهاد میکنم حتما برن ببینن.
در کل راضیکننده بود و احتمالا باز هم
سر میزنمدر دید کلی
برای کسایی که قصد شروع دارن
پلتفرمهای شرطی
دنبال تجربه هستن
این وبسایت
مطمئناً میتونه
مفید باشه
جالبه که
مجموعههایی مثل
enfejɑronline حرفهای
و
sibbet شناخته شده
کاربرای زیادی دارن
به طور کلی
دلنشین بود
و
در آینده نزدیک
میام بررسیش کنم
.
-
ورزش ایران
در جمعبندی نهایی
برای اون دسته علاقهمندها
فضای شرطبندی آنلاین
میگردن
این صفحه
فکر کنم بتونه
به درد بخوره
چیزی که جلب توجه میکنه اینه که
پلتفرمهایی مثل
enfejaronline برتر
و
sibbet آنلاین
توسعه پیدا کردن
در کل
خوشم اومد
و
مطمئناً
میام دوباره
-
Paige
سلام و عرض ادب، من چند وقت پیش
اتفاقی در اینترنت به این صفحه آشنا شدم و واقعا نظرم رو جلب کرد.
اطلاعاتش بهدردبخور بود
و کمتر همچین منبعی ببینم.
به نظرم برای خیلیها مفید باشه.
برای کسایی که دنبال یه سایت خوب هستن بد نیست یه نگاهی بندازن.
به طور کلی تجربه خوبی بود و احتمالا دوباره استفاده میکنمدر کل ماجرا
برای اون دسته که
پیشبینی مسابقات
دنبال تجربه هستن
این آدرس
به خوبی میتونه
کاربردی باشه
همچنین
برندهای شناختهشدهای مثل
enfejaronline معتبر
و
sibbet آنلاین
مطرح شدن
در کل
مفید بود
و
مطمئناً
دوباره نگاهش میکنم
.
-
web page
Hi this is kinda of off topic but I was wondering if blogs use WYSIWYG editors or
if you have to manually code with HTML. I’m starting a blog soon but have no coding experience so I wanted
to get advice from someone with experience. Any help would be greatly appreciated!
Letzte 5 Kommentare
-
Порча через наркотиков — этто сложная проб…
купить мефедрон - Zahnbehandlungsangst in der Münchner Abendzeitung
-
Hi to every one, the contents existing at this site are actually amazing for peo…
32win trang chủ - Zahnbehandlungsangst in der Münchner Abendzeitung
-
Вред через наркотиков — это
комплексная п…купить кокаин - Zahnbehandlungsangst in der Münchner Abendzeitung
-
We have been helping Canadians Get a Loan Against Their Vehicle for
Repairs Si…
-
Wow, superb blog layout! How long have you been blogging for?
you made blogging…casino-casino.org - Zahnbehandlungsangst in der Münchner Abendzeitung


Kommentar hinzufügen
Die Felder Name und Kommentar sind Pflichtfelder.