Willkommen auf unserem Blog!
Hier wollen wir in loser Abfolge Neuigkeiten, bemerkenswerte Behandlungsfälle und interessante Artikel veröffentlichen.
29.03.2017
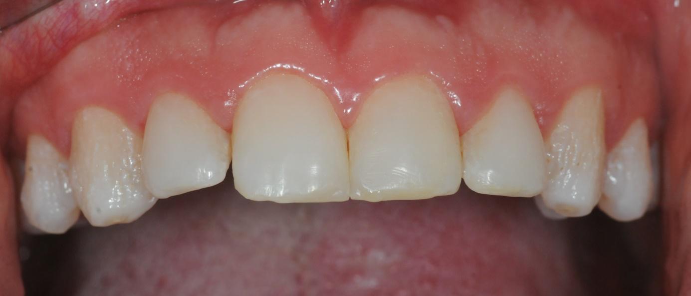
Ästhetische Korrektur bei Schmelzbildungsstörung
Die Amelogenesis imperfecta ist eine angeborene Störung der Schmelzbildung des Zahnes.
Sie kommt relativ selten vor und kann unterschiedlich stark ausgeprägt sein.
In unserer Praxis stellte sich vor Kurzem ein Patient vor, der eine mittelschwere Form aufwies.
Zur Verbesserung des ästhetischen Erscheinungsbildes wurde eine kosmetische Korrektur vorgeschlagen. Da der Patient sich bisher nur bedingt ästhetisch beeinträchtigt fühlte, scheute er sich natürlich, eine aufwändige (und kostspielige) Restauration mit Keramik-Veneers auf sich zu nehmen. Deshalb schlug ich vor, ihm die Zähne mit Kunststoff zu versorgen, um das zu erwartende Ergebnis einschätzen zu können.

Wie man sieht, ist das Ergebnis durchaus sehenswert.
Die Versorgung mit Kunststoffen ist in der Langzeithaltbarkeit (und auch der Kosmetik) einer keramischen Versorgung unterlegen. Deshalb sollte langfristig über Keramikveneers nachgedacht werden.
Schultz - 21:32:44 @ Behandlungsfälle | Kommentar hinzufügen
Letzte 4 Kommentare
-
Die Aufnahmen sind richtig gut und sind eine absolute Bereicherung. Womit sind d…
-
Solche Aufnahmen von Zähnen habe ich noch nie gesehen. Haben Sie das beim Zahna…
-
Interessant, dass sich Schadstoffe durch eine Wurzelbehandlung im Zahn einlagern…
-
Das ist eine herausragende Technik und nur was für echte Profis wie bei euch. …

Kommentar hinzufügen
Die Felder Name und Kommentar sind Pflichtfelder.